矯正中の皆さんへ
こんにちは!地下鉄六本松駅から徒歩5分の歯医者さん-六本松MI歯科-です。
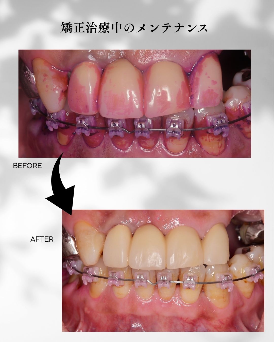
矯正治療中の皆さん!
特にワイヤー矯正中の方は歯磨きがとっても難しいですよね!
実際ワイヤー矯正中は汚れ(プラーク)が溜まり、むし歯のリスクも上がります・・・

MI歯科では矯正中のメンテナンスに最適なエアーフローによる口腔内清掃を行っています。
矯正中にワイヤー周囲のプラークを確実に除去することは、むし歯のリスクを下げるだけでなく矯正治療が適切に進む上でも重要です!
※ワイヤーやブラケットにプラークが多いと矯正力が適切に伝わらず矯正期間の延長につながるため
矯正治療中の皆さん!
矯正治療中のクリーニングは六本松MI歯科にお任せください!
ご自宅でのホームケア対策もバッチリお伝えします!!
六本松MI歯科では、マイクロスコープやラバーダム防湿を使って診療を行っています。
根管治療がなかなか終わらない・・・
咬むと痛い歯がある
という方
一度、ご自分の歯をよく診てみませんか?
お待ちしています!
