仕上げ磨きって何歳までしたらいいの?
こんにちは!地下鉄六本松駅から徒歩5分の歯医者さん-六本松MI歯科-です。
今年も宜しくおねがい致します。
お正月休み、美味しいものを食べすぎたり・ついだらだら食べをしてしまってむし歯が心配・・・という方はいらっしゃいませんか?
その中でも特に
小学生のお子さんがいらっしゃるお父様、お母様!
「仕上げ磨きって何歳までしたらいいの?」と思いませんか?
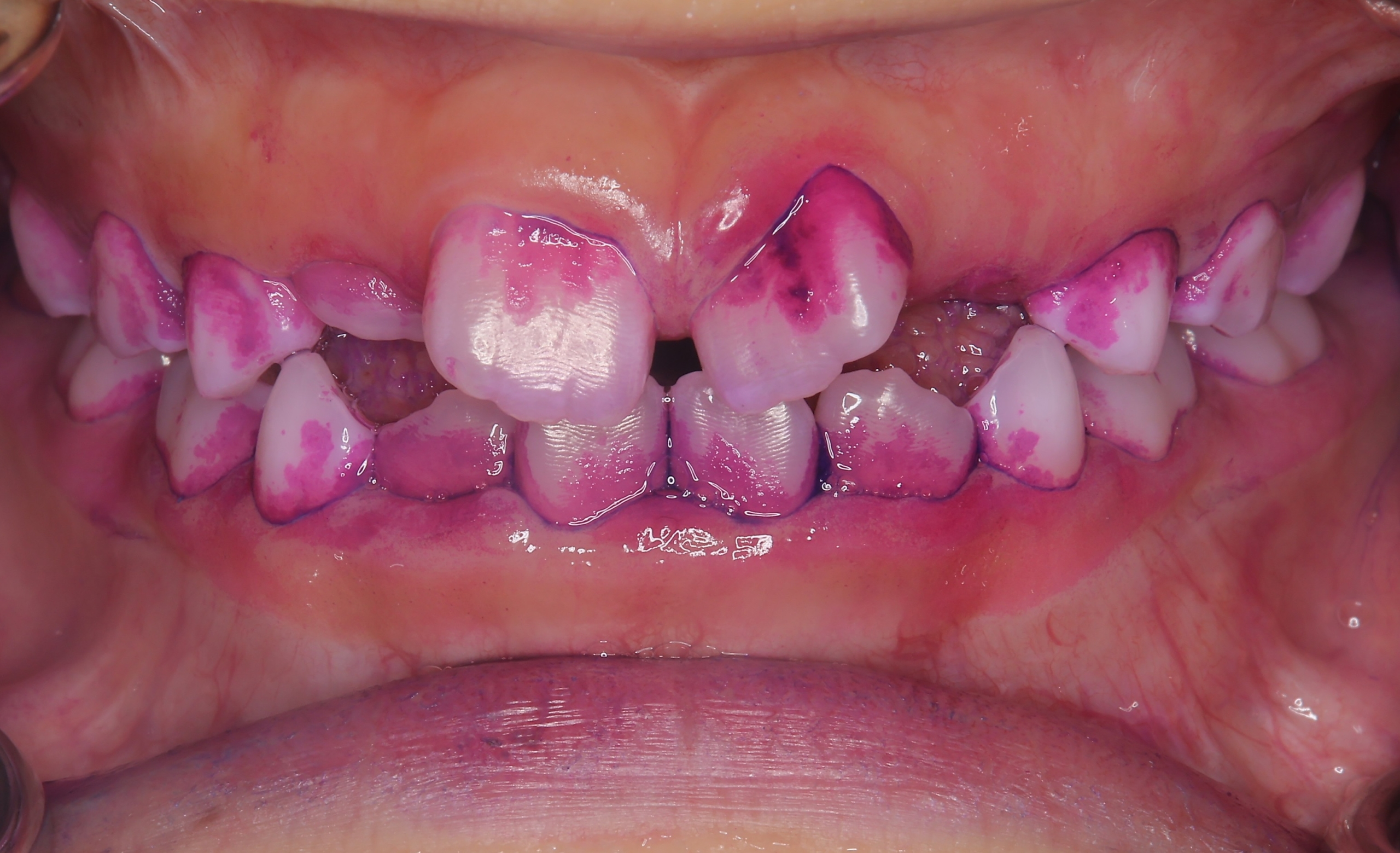
ーー混合歯列期の口腔内写真ーー

写真の通り、小学生のお口の中は大人の歯と子供の歯が混在し、顎の成長途中であることから歯並びが乱れていたり大変磨きにくい状態です!!
このような状態の歯をきちんと磨くのは大人でも難しいと思いませんか?
ぜひ小学生の間だけでも仕上げ磨きをしてあげて下さい。
混合歯列時期は歯並びが複雑で磨きにくいため、仕上げ磨きがとても重要になります。
また仕上げ磨きは、子供が自分自身で歯を磨くことの重要性を学び、正しい歯磨き習慣を身につけるきっかけにもなります。
とはいえ正しい仕上げ磨きの具体的な方法など知らない方が多いと思います。
ぜひMI歯科にお子さんと一緒に検診に来ていただき、染め出しによる汚れがつきやすい場所の確認や、フロスや歯間ブラシを使用した仕上げ磨きの方法など今一度親子でしてみませんか?
仕上げ磨きを嫌がるお子さんにも、
私たちの方からお子さん自身に磨き方の指導はもちろん、仕上げ磨きの必要性を説明致します!
六本松MI歯科では、マイクロスコープやラバーダム防湿を使って診療を行っています。
根管治療がなかなか終わらない・・・
咬むと痛い歯がある
という方
一度、ご自分の歯をよく診てみませんか?
お待ちしています!
